We thought he was limping because he’d injured his leg while running from one end of the RV to the other in delighted excitement over our coming home. Mac greeted us with this ritual of a mad dash every single time we entered the door. But … the limp wouldn’t be traced to his collision with the kitchen island. It would turn out to be the first sign—that registered with us—of a far deeper problem in our dearly loved canine companion.
In the first half of Episode 36 of On the Road with Mac and Molly (http://www.petliferadio.com/ontheroadep36.html), I trace our treasured days with darling Mac and his sweet-natured sibling, Molly. In the second segment of the program, Veterinarian John Morton joins me to discuss Osteosarcoma, the cancer that took Mac’s life.

*****
Thirty plus years ago, my husband Gene and I–married just a year and parents of a newborn baby girl–accepted the invitation to serve as resident directors of an educational program in Topsfield, Massachusetts. We shared a house with nine boys, a cook, a tutor, a lop-eared rabbit, and a cat. Not long after launching into our two-year tenure, we discovered our neighbors raised Old English Sheepdogs. On first visit, at first sight, we fell in love with these charming canines.
A puppy, whom we would name Rutter, became the 15th member of our household. He was a treasure, an utter delight. So, not surprisingly, nine years ago, when Gene and I finally decided it was time to get another dog, we went in search of an OES. As no Old English was available through a rescue at the time, we were referred to a woman in Connecticut who had some puppies available.

She welcomed us into her home, showed us around, introduced us to her adult dogs, and then suggested we all head to her backyard. She then yelled, “Come on, puppies,” and out of the house tumbled, what gave the appearance of being, a hundred tiny black and white balls of fur. We had come with the intention of adopting one dog and had determined that we would wait to see which one would approach. When two did, we knew we were done for; both had to come home with us. Though, we all bonded immediately, Molly became especially attached to me, and Mac to Gene. I remember what a treat it was, on the ride home, to have both of them cuddled up in my lap. In later years, when they would each tip the scales at 90 plus pounds, they still expected to share my lap.
We took them to Puppy Kindergarten, which they failed, miserably. Old English, reputed to be the clowns of the dog world, are notorious for taking their sweet time to ponder whether their own counsel is best or whether they should follow the instructions of the humans who share their lives. Truth be told, however, their failure in obedience training was more our failure. We should have been more dedicated and persistent in making certain they would sit, stay and come.

In subsequent days and years, we tried bringing in other trainers—all to little avail. We finally gave up in exasperation after our experience with a woman from the school of intimidation. She insisted our dogs needed strict discipline so she stomped on Molly’s paws and yanked on her leash to show her who was boss. Our sweet, sweet Molly yelped and looked up at us with pleading eyes. We told the quote unquote “trainer” to leave and decided, in that moment, that we’d rather have two galumphing goofballs than two dispirited dejects.
Home for Mac and Molly in their first four years was Chester County, Pennsylvania where we shared a stucco-over-stone farmhouse, an Amish-made barn, and acres of green grass and gardens. The four of us spent our evenings cuddling by the open-hearth fire with our cats Bubby, Mikey, and Phoebe. The latter two never warmed up to the dogs but Bubby let them know, from the start, that he was not one who would tolerate trifling so, at the very least, those three never had much in the way of issues. Mac and Molly spent most of their days in a 100 by 40-foot fenced-in play yard, and within those confines, they were masters of all they surveyed. Gene built them a double doghouse, and also—what we called—their jungle gym, which was an elevated platform that could be accessed by ramp or steps.

It was sometimes a challenge for us to move them from the house to the play yard as we had to head down a path and across a drive to get them there. One never knew what might be in store when taking 200 pounds plus of dog out on a leash. I should note here that, though Molly’s weight never exceeded 100, monster Mac hit 110 plus. All 5 foot 2 of me (and I’m actually quite strong) would try to keep them under control whenever they took me for a walk, but another dog, a cat, a breeze, a toy, a feather, a squirrel—any little bit of anything–could distract them. The prospect of taking them anywhere on a leash always called to mind the chariot race in Ben-Hur. I ended up having rotator cuff surgery and eventually ceded all on-leash duty to Gene.
M&M, as we called them, had their own room at our home in Pennsylvania, a room they seemed to take great delight in trashing. I purchased two monogrammed dog beds from LL Bean. Beautiful beds. Plush, stylish. Gone. Gone. Put them out for them one night and woke up the next morning to find pieces scattered everywhere, with wisps of filler floating in the air. This pair could demolish the toughest dog toys on the market. They loved to play tug of war with each other, with us and with the wicker furniture. They loved to play soccer. Mac would plant his foot on top of a ball and, when we’d kick it, off he’d race. But, for all of their playfulness, M&M could not—or would not—return a ball.
Another favored activity for Mac, though not for Molly, was soaking time in his full-of-refreshing water-on-a-hot-summer-day galvanized tub. We always wondered whether Molly didn’t share his interest in the tub because, as a young pup, she’d fallen into a pool and had to be fished out.

Well, in 2010, Gene and I decided to sell our cherished home in Pennsylvania to embrace life on the road. For eight years, we had lived in and lavished love upon our 18th century abode. In stress-filled hours, we’d found peace digging in the earth, filling the house with art, celebrating and kibitzing over meals with friends and family. And it was abundantly clear that Mac and Molly also loved our country home, but as we made plans to be transplanted by the winds, we hoped they, too, would revel in some new scenery and some new adventures.

We sold, stored or gave away most of our belongings and purchased a 37 foot Carriage Cameo 5th wheel and a Dodge Ram 3500 truck with an extended cab. The back seats of the latter could be laid flat so M&M could stretch out or stand up in comfort. As you might imagine, there were a great many more adjustments to be made as we downsized from a four-floor house, a barn, and acreage to three rooms and a truck.
Mac seemed to have the most trouble adjusting. In our first days in the camper, he would run back and forth, from one end of the RV to the other, over and over again, seeming to mirror what he did in his Pennsylvania play yard. At first I scolded him for this behavior, but then I realized he was just trying to adapt to his new living quarters so I started comforting him instead and, soon, he stopped his near constant dashing. He would still, however, run from end to end, when we arrived home after an absence but this was about welcoming us home. Gene and I never failed to accept that greeting with smiles and expressions of appreciation.

Mac and Molly proved to be wonderful road companions. They traveled with us down the eastern seaboard, across the south, up through the mountain states and out to the West Coast. From Washington state, we made our way down the Oregon coast and then headed back east via a route that had us traveling through California, Nevada, Utah, Arizona, New Mexico, Texas, Oklahoma, Tennessee and the Carolinas. Then, we packed up again and trekked back across the country to Arizona, then back east to Florida, and then up to North Carolina, where we are—at the time of this recording—now sojourning.

Over these years, we’ve met fascinating people, from gold panners and a family of wild mushroom pickers in Oregon to a moonshiner in Louisiana, from a mariachi band in Texas to Gullah-Geechee sweetgrass basket weavers in South Carolina. We’ve spent delight-filled days marveling at glorious natural wonders from the majestic Grand Canyon in Arizona to the hoodoo-filled Bryce Amphitheater in Utah, from the lush and soul-soothing Appalachian Mountains in Tennessee to the barren salt flats of Badwater in California’s Death Valley.

We’ve work-camped on a ranch, on a vineyard and in a coastal RV park. I’ve been a guide and instructor with the Grand Canyon Field Institute and have tromped through the swamp at Big Cypress. Gene has herded 250 head of cattle across eight miles of the Badlands and operated a rotary hay rake. We’ve risked much but gained much. Along the way we’ve also had a good many surprise encounters with wild animals, many of which we found in new and unanticipated habitats.
Mac and Molly have shared all of these adventures and a good many misadventures and they’ve done a splendid job of keeping us on the alert for predators and other potential threats. In Colorado, we had to be on the lookout for mountain lions. In Arizona, coyotes. In Wyoming, bears. In Florida, alligators and Burmese pythons. In South Dakota, the presenting threats were cow patties, burro poop, plague-ridden prairie dogs, foot-piercing cacti, and boot-swallowing gumbo.

We’ve learned that it’s best not to allow hundred pound dogs to ingest the excrement of thousand-pound cattle that have been injected with sundry vaccines. But I don’t think I will ever get into my brain—I suppose I am choosing not to understand–why dogs are so attracted to poop and all other kinds of yick. Mac and Molly loved nothing better than wallowing in burro poop on the ranch or munching on mule deer truffles at Grand Canyon, or stuffing their noses into scads of assorted scat in all 30 of the states we’ve visited over the last five years.
Squashed frogs on roadways; reefers discarded at rest areas; decaying fish on the beach, ready to strike rattlers – the pair would be after these in a trice. It’s no wonder, veterinarians we met along the way always suggested we protect our M&M with snake and lepto vaccines!
Sad to say, poop wasn’t the only questionable food of choice for Mac. He also had a great love for chocolate and we had to be VERY careful about keeping such treats out of his reach. I failed at this a couple of times and returned home to find his heart racing a mile a minute and his breath smelling of the sweet stuff. Also, sad to say, Molly wasn’t beyond serving as a lookout for Mac. When we exited our truck for just a moment at Dante’s View in Death Valley National Park, Mac made short work of a bag of artisan cheeses I’d foolishly left on the floor of the front seat. Molly sat behind the wheel, smiling broadly while he pilfered the premium provender.

Mac and Molly caused a commotion wherever we went. Folks would cluster about us whether we were parked or in parks, asking to have their photos taken with the dogs, petting them, asking endless questions about them. And, if the pair was out and about, they would elicit lots of hysterical laughter as they engaged in mock combat or raced along with their sides closely touching.
Mac would always sit up straight in a chair in the same way a person does…he’d sit at table with his paws on the surface, looking like he was waiting to be served a cup of coffee. In the RV, he had his own special chair that he would leap into and dig his claws into when he was getting up. He could and did shake the entire RV with his breathing and rocking. We purchased a special mitt for him as he was quite the drooler and drippy drinker. He would spray liquid all over the house if you didn’t head him off. All this we forgave.
I’ll never forget how, when I was under extreme stress with work, Mac licked his right paw down to the skin till it was bleeding. When I resigned from the position and returned to health, he stopped the behavior and never did it again. This, I believe, speaks to the bond we had. In his body, he gave expression to the turmoil I was feeling within. I imagine we all appreciate friends who come alongside to share in our pain; Mac certainly did that with me. He and Molly helped me move through that difficult time in ways I probably still don’t fully comprehend.
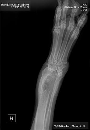
While on the road, Gene and I sometimes plant ourselves in a RV park central to an area we want to explore. When we’re in that mode, we do our exploring and then move on to another place often after just a few days. We have also, as I mentioned earlier on, enjoyed the occasional seasonal work camping. We were on such an assignment in Big Cypress, Florida, when we began to notice a change in Mac. He started to limp and, when Gene shaved him and Molly down so they might better acclimate to the heat and humidity of the swamp, we noticed a protuberance on the elbow of his right leg. An x-ray subsequently revealed that Mac had contracted a cancer, Osteosarcoma. Our veterinarian, John Morton, of the Golden Gate Animal Clinic in Naples, showed us copies of the film and it was clear to see where the bone had been eaten away by the disease.

Mac seemed to suffer a sharp decline almost immediately after the diagnosis and Dr. Morton told us the tumors might well have already spread to his chest. He reviewed our options, but given Mac’s age, the placement of the tumor, and the aggressive nature of the cancer, we ruled out amputation. As the days went by, Mac had a harder time walking on the leg and he couldn’t always control his bowels. His appetite and thirst, however, never waned. Over these days, we cried. And we cried. And we cried. And we cuddled with our Mac. Molly spent time each day comforting Mac by licking between his eyes. She did this so often that Mac developed a brown patch on his face from the enzymes conveyed from her mouth. We are now quite certain that she and Mac knew well before we that this illness would take Mac’s life.

The second segment of Episode 36 features a conversation with Dr. Morton. John shares the signs, symptoms and range of treatments for this most common bone tumor in canines, accounting for 85 percent of all cancers originating in the skeleton. I end the program with a review of our final days with our darling Mac. When our sweet boy let us know it was time, Gene took him to the clinic to be euthanized. I stayed behind with Molly and I don’t ever think I’ll forget the heartbreaking sound she made as the two drove out of sight. I’m sure she knew it was the last time she would see her beloved Mac. Over nine years, she’d had very few separations from her sibling. They had a deep and abiding bond and, though she’s adjusted to life without him, I know she misses him. As do Gene and I. We’ve adjusted to life without Mac but, I must admit, I find myself looking at his chair on occasion, wishing he was still here aggravating me with his shaking of the entire RV. With Mac no longer with us, I’ve decided to close out the On the Road series On Pet Life.

But … this won’t be the last you’ll hear from me on Pet Life Radio as we’ll soon be launching a new program—Wild Life, Wild Places. The focus of the show will be on wildlife and animal companions and the human beings who have come alongside to partner, to save, to preserve, to conserve, and to advocate. You can expect shows on wild horses, sea turtles, unusual animal friendships, the research being conducted into habitat soundscapes, tales of my encounters with wildlife in national parks and other natural spaces and, of course, much more. I hope you’ll be looking for the program as it launches and hope you’ll join me as we come alongside Wildlife and explore Wild Places!


Just read your life on travels with Mac and Molly,I think of my neighbors dog, Baytoven to which I feel he was more my dog.I think of him often. Hope you and Gene are doing well. brian
I bought a Mac & Molly dog mat for our crate and loved it. I can’t find another. Any leads where I might find one??
I apologize for the delay in replying; I’m only seeing your message today. I wonder if you might be thinking of the Max & Molly company. Their products are found on Amazon (and on their own website), but I don’t know if they sell dog beds/mats.